
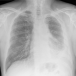
Non-Occupational Pleural Mesothelioma: A Case of Long-Term Survival and Legal Implications
October 23, 2025
Westminster Renews Push to Ban High-Silica Artificial Stone Amid Global Silicosis Crisis
November 10, 2025Researchers continue to expose the dangers facing people who cut and polish artificial stone, also known as engineered or manufactured stone. A new 2025 study in the Annals of Work Exposures and Health by Soo, Houlroyd, and colleagues adds to the growing body of evidence showing severe and persistent risks from respirable crystalline silica. Their findings strengthen the scientific foundation for the work we do at Brayton Purcell LLP, representing artificial stone countertop workers who have developed accelerated silicosis after preventable exposure.
Between 2017 and 2023, the team conducted air-sampling and job assessments at eleven artificial stone fabrication facilities in Georgia, grouping workers by role, including support staff, automated-machine operators, small-tool operators, and fabricators, to see how exposure varied by task.
Dry Cutting: The Highest Risk
Only six workers were observed cutting artificial stone slabs completely dry, without any water for dust control. Their silica exposures ranged from 32 to 5,100 micrograms per cubic meter (µg/m³), averaging more than 43 times higher than OSHA’s permissible exposure limit. These levels were far greater than those found in prior studies, indicating that dry fabrication of artificial stone in uncontrolled environments is extremely hazardous.
Wet Cutting Isn’t Safe
Even when workers used wet cutting methods meant to suppress dust, exposures often exceeded OSHA limits. Some wet-method fabricators recorded levels between 22 and 230 µg/m³, and nearly half of all workers using wet methods were still at or above the legal limit. In total, 70% were exposed above the OSHA action level, showing that these methods are not enough to keep workers safe. It’s important to note that OSHA’s permissible exposure limits are not levels at which workers are safe. Exposure, even at those levels, is highly toxic. Any continued exposure to artificial stone silica dust, due to the nano-sized particles released during fabrication, allegedly puts fabricators at risk of developing silicosis and other serious lung diseases.
Most Shops Had Overexposed Workers
91% of the fabrication shops studied had at least one employee over OSHA’s exposure limit. Only one company managed to stay below it, and that business primarily worked with natural stone, which contains far less silica, and larger silica particles, than artificial stone materials.
Control Systems Fail Without Upkeep
The researchers conducted follow-up visits to several facilities and found that even well-intentioned safety improvements often failed over time. At one shop, installing a water curtain dust extractor initially reduced exposure from 2,000 µg/m³ to 230 µg/m³. But when the system later broke down and dry cutting resumed, exposures shot back up to 5,100 µg/m³. This demonstrates how essential it is to maintain and regularly test control systems, not just install them. It also highlights how challenging and unrealistic maintenance of these complex systems may be.
Respirator Use Remains a Problem
Many workers were observed using respirators incorrectly, or not at all. Some wore them over facial hair, used poorly fitting or clogged masks, or removed them because of heat or discomfort. Others, like forklift drivers or quality inspectors, often did not use protection though they worked near cutting and grinding operations.
Lessons from Abroad
Australia’s experience offers a cautionary example. Despite major improvements in respirator use, rising from 44.9% to 86.5% after stronger safety enforcement, silicosis cases continued to increase. The Australian government ultimately banned the use and import of artificial stone in response.
Public Health Implications
This study reinforces what many experts and our clients already know: safety measures are not enough to protect artificial stone workers. Researchers also warn that cutting and polishing artificial stone slabs may release nanoparticles, resins, and other volatile compounds, posing additional, less-understood risks. Until effective and consistently verified dust control systems are in place, the authors recommend that all employees performing comparable tasks wear appropriate respiratory protection in accordance with OSHA standards. While following those recommendations may help to lessen the dangers, they will, in no way, eliminate the exposure of workers to the lethal toxins produced when fabricating artificial stone slabs.
At Brayton Purcell LLP, we’ve seen firsthand the devastating impact of silicosis on workers and their families. Studies like this strengthen the scientific foundation for holding negligent employers and manufacturers accountable and underscore the urgent need for awareness and, ultimately, the banning of artificial stone to prevent more lives from being cut short by an entirely preventable disease.
Reference: Jhy-Charm Soo, Jenny Houlroyd, Hilarie Warren, Brandon J Philpot, Sean Castillo, Respirable dust and respirable crystalline silica exposures among workers at stone countertop fabrication shops in Georgia from 2017 through 2023, Annals of Work Exposures and Health, Volume 69, Issue 5, June 2025, Pages 473–485, https://doi.org/10.1093/annweh/wxaf014



