
A New Tool in the Fight Against Mesothelioma: How AI Is Helping Detect a Silent Killer Sooner
September 15, 2025
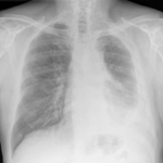
Non-Occupational Pleural Mesothelioma: A Case of Long-Term Survival and Legal Implications
October 23, 2025Silicosis and the Quartz Industry: A New Chapter or a Temporary Fix?
In September 2025, Business of Home published a sobering look at the artificial stone industry’s reckoning with accelerated silicosis—a deadly lung disease caused by inhaling nano-sized particles of crystalline silica and other toxins in traditional artificial stone. The article, “Is low-silica stone the path forward for the quartz industry?” spotlights the aftermath of a landmark $52 million verdict awarded to Gustavo Reyes Gonzalez, a 34-year-old artificial stone fabricator who required a double lung transplant after years of exposure to toxic crystalline silica and other toxins in artificial stone.
At Brayton Purcell LLP, we’ve long stood with workers harmed by preventable occupational exposures. From asbestos to silica, the pattern is tragically familiar: industries prioritize profit over worker safety until litigation forces change.
A Shift in Materials—But Is It Enough?
Following the Reyes Gonzalez case and Australia’s nationwide ban on artificial stone, major manufacturers like Caesarstone and Cosentino have introduced “low-“ and so-called “zero-silica” alternatives. According to their advertising, Caesarstone’s new “Icon” line contains less than 1% crystalline silica, while Cosentino’s Q0 surface boasts recycled content and claimed minimal silica levels.
These innovations raise critical questions. As attorney James Nevin of Brayton Purcell LLP, who represents Reyes Gonzalez and over 600 other individual stone fabrication workers, warns based on published peer-reviewed studies: ““If we look at high-content artificial stone and why it’s dangerous, it’s three different things: it’s the high content, the nano size and the other toxins. Low-content artificial stone—yes, it has removed the high content, but it’s still nano-size, and it still has the other toxins.” In other words, reducing silica doesn’t eliminate the full spectrum of health risks.
Transparency and Accountability
The article calls for greater transparency in material composition. Without full disclosure of silica levels, adhesives, resins, and other airborne toxins, safety assessments remain incomplete. As Leila Behjat of the Healthy Materials Lab notes, “Is that really an improvement, or just a Band-Aid?”
At Brayton Purcell LLP, we echo that concern. True reform requires not just new products, but rigorous testing, enforceable safety standards, and accountability for past harm.
What Comes Next?
As of this week, California’s Department of Public Health has recorded 391 silicosis cases and 22 deaths linked to artificial stone in California alone. The median age of diagnosis is just 46. These are not isolated incidents—they are a public health crisis.
If you or a loved one has worked in artificial stone fabrication, legal options may be available. Our firm has decades of experience representing victims of toxic exposure, and we’re committed to holding manufacturers and suppliers accountable.



