
El Auge de la Piedra Artificial con Sílice Cristalina y el Surgimiento de la Silicosis Acelerada
February 20, 2026
Lo que Revela la Ciencia: Investigación Revisada por Pares sobre la Silicosis por Piedra Artificial
February 24, 2026En el Reino Unido, una serie de reportajes recientes ha vuelto a poner bajo el foco los riesgos extremos de la piedra artificial de sílice cristalina, un material ampliamente utilizado en la fabricación de encimeras de cocina y baño.
Este tipo de superficies se produce con concentraciones muy elevadas de sílice cristalina –habitualmente superiores al 90 %–, en partículas ultrafinas y de tamaño nanométrico. El resto de la mezcla suele incluir metales pesados, resinas y adhesivos industriales, que pueden liberar compuestos orgánicos volátiles (COV) tóxicos cuando el material se corta, se lija o se pule.
A medida que surgen nuevas informaciones en varias investigaciones relacionadas con la silicosis, aumenta la presión para que las autoridades británicas valoren una prohibición total de la piedra artificial de sílice cristalina, siguiendo el ejemplo de países como Australia.
Este cambio de enfoque se ve reforzado por las novedades en el caso del cantero de 48 años Marek Marzec, cuya muerte se ha convertido en un referente en el debate público sobre los peligros de estos productos y la responsabilidad de las empresas que los fabrican.
Una crisis en expansión: cuatro muertes y más de 50 personas diagnosticadas
Los datos actuales publicados en el Reino Unido muestran que:
- Cuatro personas han fallecido en el país por silicosis asociada a la fabricación de piedra artificial de sílice cristalina.
- Más de 50 trabajadores han recibido un diagnóstico de silicosis relacionada con piedra artificial desde 2023.
- Continúan otras investigaciones judiciales, entre ellas la que examina la muerte del joven de 28 años Wessam alJundi.
Estos casos reproducen un patrón observado en otros países: personas dedicadas a fabricar o trabajar la llamada piedra artificial de sílice cristalina—también conocida como “quartz”, “engineered stone” o “manufactured stone”—desarrollan una enfermedad pulmonar de progresión muy rápida tras inhalar polvo de sílice respirable liberado durante la fabricación.
La continuidad de estos hallazgos en distintos lugares del mundo ha intensificado las peticiones de prohibir por completo este tipo de material.
Un peligro que viene de fábrica: por qué se exige responsabilidad a los fabricantes
El riesgo no se debe a un incidente aislado en un taller, sino a la composición misma de la piedra artificial de sílice cristalina. El producto se diseña para incorporar:
- Porcentajes de sílice cristalina que suelen superar el 90 %.
- Partículas extremadamente pequeñas, de escala nanométrica, capaces de alojarse en las zonas más profundas de los pulmones.
- Metales pesados y mezclas de resinas y pegamentos industriales altamente tóxicos.
- Emisión de COV peligrosos durante el corte, el esmerilado y el pulido.
Dado que estos peligros están integrados en el diseño del producto y no se generan por primera vez en el lugar de trabajo, cada vez más expertos sostienen que la responsabilidad recae en los fabricantes, que han introducido en el mercado un material intrínsecamente peligroso. Para proteger de forma duradera a los trabajadores, se reclama detener la producción y comercialización de las planchas de piedra artificial de sílice cristalina.
Investigación penal en el caso Marzec: posible delito de homicidio
Medios británicos han informado de que la Metropolitan Police se ha hecho cargo de la investigación sobre la muerte de Marek Marzec. Esta decisión sitúa el asunto en el ámbito de una posible investigación por homicidio, e indica la gravedad con la que las autoridades están abordando los fallecimientos por silicosis derivados del trabajo con piedra artificial de sílice cristalina.
La policía analiza ahora si la propia formulación del producto—su contenido extremadamente alto de sílice cristalina en partículas nanométricas, junto con metales pesados, resinas y adhesivos que emiten COV tóxicos—generó vías de exposición claramente conocidas por provocar daños respiratorios graves y potencialmente mortales.
El Parlamento británico eleva la presión hacia una posible prohibición
Un informe parlamentario recientemente publicado describe el aumento de casos de silicosis por piedra artificial como una emergencia sanitaria y un problema de justicia social. Integrantes del grupo parlamentario multipartidista sobre Seguridad y Salud Laboral han instado al gobierno a estudiar una prohibición total de la piedra artificial de sílice cristalina en todo el país.
El documento destaca cómo los enfoques regulatorios tradicionales han fracasado a la hora de controlar las exposiciones derivadas de un material cuyos peligros están presentes desde su formulación. En otras palabras, no se trata solo de limitar el polvo, sino de cuestionar la existencia misma de un producto cuyo uso genera, de forma previsible, niveles peligrosos de sílice respirable.
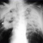
Una enfermedad que avanza con rapidez devastadora
Los casos como el de Marek Marzec ponen de manifiesto la velocidad con la que puede deteriorarse la salud de una persona tras inhalar partículas de sílice liberadas al trabajar encimeras de piedra artificial. En su caso, falleció apenas siete meses después de recibir el diagnóstico de silicosis, un curso clínico que coincide con los patrones descritos en publicaciones científicas internacionales sobre silicosis de progresión rápida en trabajadores de piedra artificial.
Estos antecedentes refuerzan la necesidad de actuar sobre el origen del problema: la fabricación de planchas de piedra artificial de sílice cristalina que, por su propia naturaleza, generan polvo de sílice respirable durante su procesamiento.
Brayton Purcell LLP: apoyo legal para personas y familias afectadas por silicosis
La silicosis vinculada a la piedra artificial de sílice cristalina es una enfermedad grave, de evolución rápida y, con frecuencia, mortal. Desde hace décadas, Brayton Purcell LLP se ha consolidado como una autoridad destacada en la representación de personas y familias afectadas por enfermedades respiratorias severas.
Si usted o un ser querido ha sido diagnosticado con silicosis tras trabajar con piedra artificial (por ejemplo, en la fabricación, corte, pulido o instalación de encimeras), nuestro equipo jurídico experimentado puede ayudarle a comprender sus opciones legales y a explorar la posibilidad de reclamar una compensación.
Contacte con Brayton Purcell LLP para hablar con un miembro de nuestro equipo y obtener una evaluación confidencial de su situación.




